Benvenuti
Ambulatorio
Odontoiatrico
Poggiolini
Boldrini
TRATTAMENTI
Salute impeccabile,
bellezza naturale.
Sorridere alla paura
La cura dei bambini è il nostro cuore: un approccio empatico, su misura, basato su tecnologie e metodologie ad hoc per crescere sorrisi sani e felici.
Prima visita consapevole e serena
Vuoi prenotare una prima visita per te o per un tuo famigliare?
Scopri protocolli e organizzazione qui
ADULTO
Il nostro protocollo per la prima visita odontoiatrica degli adulti è pensato per garantire una valutazione completa e personalizzata della salute orale del paziente.
Durante l’appuntamento vengono eseguite le seguenti fasi:
- Colloquio iniziale e raccolta dell’anamnesi, seguita da esame obiettivo del cavo orale, con attenzione alle eventuali problematiche già presenti;
- Valutazione parodontale, per esaminare lo stato di salute delle gengive e dei tessuti di supporto dei denti;
- Eventuale Scansione digitale delle arcate dentarie, utile per valutazione occlusione e piani di trattamento;
- Esami radiografici di base (ortopanoramica e radiografie endorali), effettuati solo se clinicamente necessari.
PER PRENOTARE:
BAMBINO
La prima visita odontoiatrica del bambino è un momento delicato e importante, per questo l’Ambulatorio Poggiolini Boldrini dedica particolare attenzione all’accoglienza, calibrata sull’età e sulle esigenze del piccolo paziente.
Durante la visita vengono eseguite:
- Visita pedodontica, finalizzata a valutare l’età dentale, verificare l’eventuale presenza di carie, lesioni o neoformazioni delle gengive e delle mucose. Viene anche controllata la qualità dell’igiene orale domiciliare, con indicazioni personalizzate per genitori e bambini;
- Valutazione ortodontica precoce, con particolare attenzione allo sviluppo delle ossa mascellari e del cranio. L’obiettivo è individuare tempestivamente eventuali malocclusioni, disfunzioni respiratorie o difficoltà nella deglutizione, per poter intervenire con trattamenti mirati nel momento più adatto.
Questa prima visita rappresenta un’occasione preziosa per instaurare un rapporto di fiducia con il dentista e avviare il bambino verso una crescita sana anche sotto il profilo odontoiatrico.
PER PRENOTARE:
TECNOLOGIE
Sicurezza, comfort e precisione per il tuo benessere orale.
AMBULATORIO
Lo staff
Poggiolini
Boldrini
Perché prenotare una visita all’Ambulatorio Poggiolini Boldrini.
Tecnologie avanzate per ogni età
Sedazione costante, scanner intraorale, laser a diodi: trattamenti moderni, sicuri e minimamente invasivi.
Ambiente accogliente e rassicurante
Dalla prima visita al percorso terapeutico, ogni fase è pensata per trattare e seguire passo-passo anche i pazienti più timorosi.
Un team di professionisti altamente specializzati
Odontoiatri, ortodontisti, chirurghi orali: competenze integrate per offrire soluzioni personalizzate.
BLOG
Casi clinici, notizie e informazioni utili.
Impianto dentale a Ravenna: quali fattori influiscono sul prezzo?
Impianto dentale: cos’è, come funziona, costi e risultati
Come intercettare problemi ortodontici precocemente
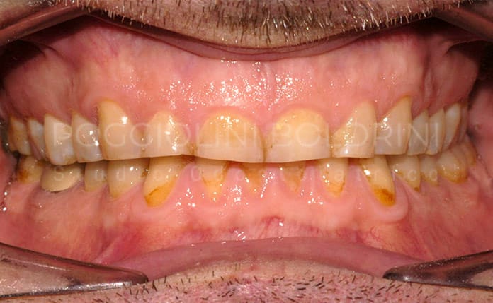
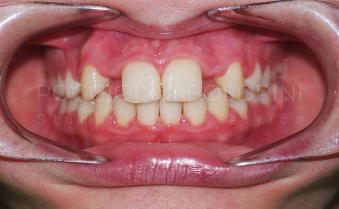
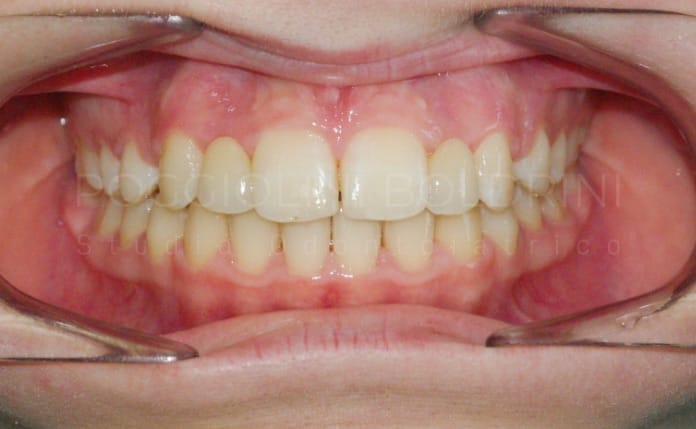
Casi clinici: prima e dopo
Faccette
Agenesia
Riabilitazione
Soprannumerari
CONTATTI
Contattaci.
Siamo un ambulatorio dentistico di riferimento a Bagnacavallo, Ravenna e dintorni.
Altamente specializzati, nel nostro ambulatorio trovi professionalità, empatia e tecnologia d’avanguardia per la cura del sorriso di tutta la famiglia.